各式抗體與染劑協助判定幹細胞多能型,活細胞與固定後細胞皆可。
StainAlive™
- 在人類和老鼠的 ES/iPSCells 可活細胞螢光染色
- 低毒性,不影響細胞型態和生長
Nanog Antibody


Alkaline Phosphatase Staining Kit
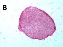
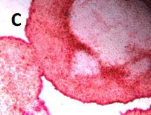
ES 和 iPS 細胞的未分化時,AP (alkaline phosphatase) 會大量表現。AP 是種去磷酸化的酵素,負責將核甘酸、蛋白質、生物鹼等分子在鹼性的環境下進行磷酸化。當固定後的 ES 和 iPS 細胞使用 AP 試劑組染色,未分化的細胞會出現紅色或紫色,已分化的細胞會出現無色。
[A] Undifferentiated R1 cells

[A] Undifferentiated R1 cells

[A] Undifferentiated R1 cells

圖 1 顯示 R1 mouse ES cells 和 H1 human ES cells 使用 AP 染色後的狀況。
StainAlive™
請左右移動表格位置查看更完整內容
| 產品貨號 | 產品名稱 | 產品數量 | 
|---|---|---|
| 09-0097 | SSEA-4 Antibody (DyLight™ 550), Mouse anti-Human | 100 μl | 
Nanog Antibody
請左右移動表格位置查看更完整內容
| 產品貨號 | 產品名稱 | 產品數量 | 
|---|---|---|
| RCAB004P-F | Anti human Nanog Antibody | 100μL | 
| RCAB001P | Anti mouse Nanog antibody | 200μL | 
| RCAB002P-F | Anti mouse Nanog antibody | 100μL | 
Alkaline Phosphatase Staining Kit
請左右移動表格位置查看更完整內容
| 產品貨號 | 產品名稱 | 產品數量 | 
|---|---|---|
| 00-0055 | Alkaline Phosphatase Staining Kit II | 50 assays | 
Other pluripotency markers
請左右移動表格位置查看更完整內容
| 產品貨號 | 產品名稱 | 產品數量 | 
|---|---|---|
| 09-0021 | Klf4 Antibody (Purified), Mouse anti-Mouse/Human | 100 μl | 
| 09-0020 | Nanog Antibody (Affinity Purified), Rabbit anti-Mouse/Human | 100 μl | 
| 09-0023 | Oct4 Antibody (Affinity Purified), Rabbit anti-Mouse/Human | 100 μl | 
| 09-0024 | Sox2 Antibody (Affinity Purified), Rabbit anti-Mouse/Human | 100 μl | 
| 09-0006 | SSEA-4 Antibody (Purified), Mouse anti-Human | 100 μl | 
| 09-0010 | TRA-1-60 Antibody (Purified), Mouse anti-Human | 100 μl | 
| 09-0011 | TRA-1-81 Antibody (Purified), Mouse anti-Human | 100 μl | 
| 09-0014 | StemAb SSEA-3 Antibody (Purified), Rat anti-Mouse/Human | 100 μl | 
- Du, Dongshu, and Xiangxin Lou. “Generation of induced pluripotent stem cells from neonatal mouse cochlear cells.” Differentiation (2014).
- Inada, Yutaka, et al. “Cell and tissue-autonomous development of the circadian clock in mouse embryos.” FEBS letters 588.3 (2014): 459-465.
- Izumikawa, Tomomi, Ban Sato, and Hiroshi Kitagawa. “Chondroitin Sulfate Is Indispensable for Pluripotency and Differentiation of Mouse Embryonic Stem Cells.” Scientific reports 4 (2014).
- Kowno, Megumi, et al. “Prohibitin 2 Regulates the Proliferation and Lineage-Specific Differentiation of Mouse Embryonic Stem Cells in Mitochondria.” PloS one 9.4 (2014): e81552.
- Sangel, Percival, Masahiro Oka, and Yoshihiro Yoneda. “The Role of Importin-βs in the Maintenance and Lineage Commitment of Mouse Embryonic Stem Cells.” FEBS Open Bio (2014).
- Yamasaki, Sachiko, et al. “Generation of Human Induced Pluripotent Stem (Ips) Cells in Serum-and Feeder-Free Defined Culture and TGF-Β1 Regulation of Pluripotency.” PLOS ONE 9.1 (2014): e87151.
- Araki, Ryoko, et al. “Negligible immunogenicity of terminally differentiated cells derived from induced pluripotent or embryonic stem cells.” Nature (2013).




 世翔國際有限公司
 世翔國際有限公司