Alvetex 3D 細胞培養系統
- 純聚苯乙烯 (polystyrene),不含動物成分
- 30~40 μm 孔洞的 200 μm 薄層泡綿體
- 模擬體內生長環境的 3D 細胞培養方式
- 可培養多種細胞株及初代細胞

Alvetex 3D 細胞培養的優點
貼近體內生長的細胞構型

2D 培養方式導致細胞緊貼生長,壓迫細胞。Alvetex 3D 培養則能維持細胞的正常構型,不會擠壓細胞骨架及細胞核。
維持更高的細胞活性

以 2D&3D 培養初代大鼠肝臟細胞 24 小時,觀察細胞存活比例,結果顯示 Alvetex 3D 培養在不同細胞密度皆有更高的細胞活性。
更敏感的細胞毒性測試

將初代大鼠肝臟細胞培養 48 及 72 小時後,測定其 CYP 代謝酵素活性,Alvetex 3D 所培養的細胞代謝能力明顯高於 2D 培養方式。
不失真的細胞代謝能力

初代大鼠肝臟細胞培養 20 小時後,測試不同濃度的 APAP 對細胞的毒性,Alvetex 培養的細胞顯示出更敏感的毒性測試結果。
3D 細胞長期培養 – Insert holder
- 可調式支架高度
 配合培養基體積與高度,調整 insert 位置
- 彈性的 Insert 選擇
 可使用 6-well 或 12-well 的 insert 搭配使用

3D 細胞動態培養 – Perfusion Plate

- 動態式培養
 模擬體內循環系統的培養方式
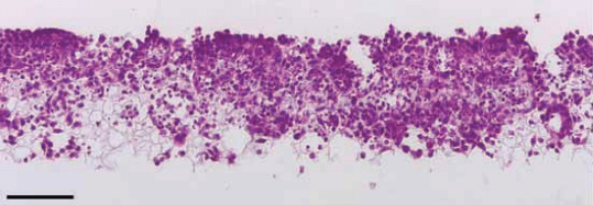
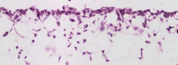
Alvetex Scaffold 和 Strata 的差別
Scaffold 和 Strata 材質都是純聚苯乙烯 (polystyrene),主要是空隙 (voids) 尺寸不同,與連結結構 (interconnects) 尺寸不同。


Scale bar 100 μm.
Alvetex Scaffold 是我們推出領先市場的商品,可以將哺乳動物的細胞培養在 3D 的環境中,孔徑平均尺寸為 42 μm



Scale bar 100 μm.
Alvetex Strata 是我們第二項商品,主要應用在培養細胞或是膜狀組織,孔徑平均尺寸為 15 μm

Alvetex Scaffold 和 Strata 的差別
Scaffold 和 Strata 材質都是純聚苯乙烯 (polystyrene),主要是空隙 (voids) 尺寸不同,與連結結構 (interconnects) 尺寸不同。
請左右移動表格位置查看更完整內容
| Alvetex | Voids diameter | Interconnects diameter | 
|---|---|---|
| Scaffold | 40 μm | 14 μm | 
| Strata | 14 μm | 35 μm | 

Alvetex®
請左右移動表格位置查看更完整內容
| 產品貨號 | 產品名稱 | 產品系列 | 產品說明 | 產品規格 | 包裝大小選擇 | 
|---|---|---|---|---|---|
| AVP002 | Multiwell Plates | Scaffold | 短期培養使用 單向養分供給 | 12-well | 2,10,80 盤 | 
| AVP006 | 24-well | ||||
| AVP009 | 96-well | ||||
| AVP010 | 384-well | ||||
| AVP004 | Well Inserts | Scaffold | 雙向養分供給 | 6-well | 12,48,96 個 | 
| AVP005 | 12-well | ||||
| AVP012 | 24-well | ||||
| STP004 | Well Inserts | Strata | 雙向養分供給 | 6-well | 12,48,96 個 | 
| STP005 | 12-well | ||||
| AVP015 | Well Insert holder + Petri Dish | 長期培養使用 增加培養基體積 | 支架 + 特製培養盤 | 2 套 或 10 套 | |
| AVP011 | Perfusion plate | 動態循環培養 | 循環培養盤 | 2 個 或 10 個 | 
Alvetex® Starter Kit
若是想要測試實驗,可以選擇此系列產品,可選購最小量。
請左右移動表格位置查看更完整內容
| 產品貨號 | 產品名稱 | 產品系列 | 產品類型 | 產品規格 | 包裝大小 | 
|---|---|---|---|---|---|
| AVP-KIT-1 | Alvetex Scaffold Plate Starter Kit | Scaffold | Multiwell Plates | 
 | 1 組 | 
| AVP-KIT-2 | Alvetex Well Insert Starter Kit | Scaffold | Well Inserts holder Petri Dish | 
 | 1 組 | 
| STP-KIT-2 | Alvetex Strata Well Insert Starter Kit | Strata | Well Inserts holder Petri Dish | 
 | 1 組 | 
| AVP-KIT-3 | Perfusion Plate and 6-Well Inserts | Perfusion plate | 
 | 1 組 | |
| AVP-KIT-4 | Perfusion Plate and 12-Well Inserts | Perfusion plate | 
 | 1 組 | |
| AVP-KIT-5 | Perfusion Plate and 6-Well Inserts | Perfusion plate | 
 | 1 組 | |
| AVP-KIT-6 | Perfusion Plate and 12-Well Inserts | Perfusion plate | 
 | 1 組 | 
- Enhanced neurite outgrowth by human neurons grown on solid three-dimensional scaffolds.
 Hayman, M.W., Smith, K.H., Cameron, N.R., Przyborski, S.A. (2004).Biochemical and Biophysical Research Communications, 314, 483-488.
- Growth of human stem cell-derived neurons on solid three dimensional polymers.
 Hayman, M.W., Smith, K.H., Cameron, N.R., Przyborski, S.A. (2005).Journal of Biochemical and Biophysical Methods, 62, 231-240.
- Porous polymers by emulsion templating.
 Barbetta, A., Carnachan, R.J., Smith, K.H., Zhao, C., Cameron, N.R., Kataky, R., Hayman, M., Przyborski, S.A., Swan, M. (2005).Macromolecular Symposia, 226, 203-211.
- Tailoring the morphology of emulsion-templated porous polymers.
 Carnachan, R.J., Bokhari, M., Przyborski, S.A., Cameron, N.R. (2006).Soft Matter, 2, 608-616.
- Novel cell culture device enabling three-dimensional cell growth and improved cell function.
 Bokhari, M., Carnachan, R., Cameron, N.R., Przyborski, S.A. (2007).Biochemical and Biophysical Research Communications, 354, 1095-1100.
- Effect of synthesis parameters on emulsion-templated porous polymer formation and evaluation for 3D cell culture scaffolds.
 Bokhari, M., Carnachan, R., Przyborski, S.A., Cameron, N.R. (2007).Journal of Materials Chemistry, 17, 4088-4094.
- Culture of HepG2 liver cells on three dimensional polystyrene scaffolds enhances cell structure and function during toxicological challenge.
 Bokhari, M., Carnachan, R., Cameron, N.R., Przyborski, S.A. (2007).Journal of Anatomy, 211, 567-76.
- Emulsion-templated porous scaffolds enabling three dimensional cell culture. Polymer Preprints.
 Carnachan, R.J., Bokhari, M., Maatta, A., Cameron, N.R., Przyborski, S.A. (2008).American Chemical Society, Division of Polymer Chemistry, 49, 418-419.
- Developments in three dimensional cell culture technology aimed at improving the accuracy ofin vitroanalyses.
 Maltman, D., Przyborski, S.A., (2010)Biochemical Society Transactions, 38(4), 1072-5
- Validation of reference gene stability for APAP hepatotoxicity studies in differentin vitrosystems and identification of novel potential toxicity biomarkers.
 ToxicologyIn Vitro, Volume 24, Issue 7, October 2010, Pages 1962-1970. doi:10.1016/j.tiv.2010.08.007Hepatotoxicity is an important aspect of pharmaceutical drug safety and a major cause of attrition in the drug discovery pipeline. In order to correctly detect and validate early gene expression changes indicative of hepatic cell stress, the authors have evaluated a panel of routinely-used reference genes, before monitoring gene expression changes in both the hepatocarcinoma cell line HepG2 and primary rat hepatocytes following treatment with acetaminophen (APAP).By comparing the response of primary rat hepatocytes grown in both conventional 2D tissue culture plastic and in 3D Alvetex Scaffold to 4mM APAP exposure, similar stress markers were detected to be differentially regulated in 3D versus 2D, although expression levels of Jun and Myc were up-regulated to a different extent in both culture systems.This study demonstrates the feasibility of Alvetex 3D culture for mRNA extraction and gene expression analysis to study early changes associated with drug exposure in hepatocytes.
- Alvetex: Polystyrene scaffold technology for routine three dimensional cell culture.
 Knight, E., Murray, B., Carnachan, R., Przyborski, S.A., (2011).Methods in Molecular Biology, 695, 323-40.
- Adipose tissue-derived stem cells display a proangiogenic phenotype on 3D scaffolds.
 Neofytou. E.A., Chang. E., Patlola. B., Joubert. L.M., Rajadas. J., Gambhir. S.S., Cheng. Z., Robbins. R.C., Beygui. R.E., (2011)Journal Biomedical Materials ResearchPart A doi: 10.1002/jbm.a.33113
- Dysregulated TRK signalling is a therapeutic target in CYLD defective tumours.
 Rajan. N., Elliott. R., Clewes. O., Mackay. A., Reis-Filho. J.S., Burn. J., Langtry. J., Sieber-Blum. M., Lord. C.J., Ashworth. A., (2011)Oncogenedoi: 10.1038/onc.2011.133
- Rat primary hepatocytes show enhanced performance and sensitivity to acetaminophen during three-dimensional culture on a polystyrene scaffold designed for routine use.
 Schutte, M., Fox. B., Baradez, M., Devonshire, A., Minguez., J., Bokhari. M., Przyborski. S., Marshall. D., (2011)Assay and Drug Development Technologiesdoi: 10.1089/adt.2011.0371
- The autophagy-associated factors DRAM1 and p62 regulate cell migration and invasion in glioblastoma stem cells
 S Galavotti, S Bartesaghi, D Faccenda, M Shaked-Rabi, S Sanzone, A McEvoy, D Dinsdale, F Condorelli, S Brandner, M Campanella, R Grose, C Jones, P SalomoniOncogene, 2012, doi: 10.1038/ocn.2012.111
- Generation of proliferating human hepatocytes using upcytetechnology: characterisation and applications in induction and cytotoxicity assays
 Alexandra Burkard, Caroline Dhn, Stefan Heinz, Anne Zutavern, Vera Sonntag-Buck, Daniel Maltman, Stefan Przyborski, Nicola J. Hewitt, and Joris BraspenningXenobiotica, 2012, doi: 10.3109/00498254.2012.675093
- Characterization of liver specific functions of upcytehepatocytes grown in 3D and co-cultured with upcyteendothelial cells.
 C Dhn, N Hewitt, D Maltman, G Talas, S Przyborski, S Heinz, A Nrenberg, K Scheller, J BraspenningZ Gastroenterol, 2012; 50 P2_05 doi: 10.1055/s-0031-1295802
- Targeting of Beta Adrenergic Receptors Results in Therapeutic Efficacy against Models of Hemangioendothelioma and Angiosarcoma
 Jessica M. Stiles, Clarissa Amaya, Steven Rains, Dolores Diaz, Robert Pham, James Battiste, Jaime F. Modiano, Victor Kokta, Laura E. Boucheron, Dianne C. Mitchell, Brad A. BryanPublic Library of Science. March 2013 | Volume 8 | Issue 3 | e60021 PLoS ONE 8(3): e60021. doi:10.1371/journal.pone.0060021
- Epidermal-like architecture obtained from equine keratinocytes in three-dimensional cultures
 Ruchi Sharma, Safia Z. Barakzai, Sarah E. Taylor, F. Xavier DonadeuJournal of Tissue Engineering and Regenerative Medicine.First published online 30 July 2013. doi: 10.1002/term.1788
- Overlapping gene coexpression patterns in human medullary thymic epithelial cells generate self-antigen diversity
 Sheena Pinto, Chlo Michela, Hannah Schmidt-Glenewinkel, Nathalie Harder, Karl Rohr, Stefan Wild, Benedikt Brorse, and Bruno Kyewskia,PNAS. 26 August 2013. doi: 10.1073
- Effect of PEG Surface Conformation on Anticancer Activity and Blood Circulation of Nanoemulsions Loaded with Tocotrienol-Rich Fraction of Palm Oil
 Alaadin Alayoubi, Saeed Alqahtani, Amal Kaddoumi, Sami NazzalThe AAPS Journal(August 2013) doi: 10.1208/s12248-013-9525-z
- Beyond Cell Death  Antiapoptotic Bcl-2 Proteins Regulate Migration and Invasion of Colorectal Cancer CellsIn Vitro
 Bruno Christian Koehler, Anna-Lena Scherr, Stephan Lorenz, Toni Urbanik, Nicole Kautz, Christin Elssner, Stefan Welte, Justo Lorenzo Bermejo, Dirk Jger, Henning Schulze-BergkamenPublic Library of Science. PLoS ONE 8(10): e76446. doi:10.1371/journal.pone.0076446 Published: October 3, 2013
- Hanging drop: Anin vitroair toxic exposure model using human lung cells in 2D and 3D structures
 Faye F. Liu, Cheng Peng, Beate I. Escher, Emmanuelle Fantino, Cindy Giles, Stephen Were, Lesley Duffy, Jack C. Ng Journal of Hazardous Materials Volume 261, 15 October 2013, Pages 701-710. doi:10.1016/j.jhazmat.2013.01.027The usability of 2Din vitromodels of toxicity following chronic air exposure to volatile chemicals is greatly limited, either by the lack of viability of air-exposed cells grown in 2D substrates or by the interference of diffusion effects in medium-submerged 2D cultures. In this study, the authors tested two 3D models ofin vitroair exposure, by growing the human lung cell line A549 in hanging drops and in Alvetex Scaffold, which both provide a better nutrient support with a small air-liquid diffusion barrier.When comparing 2D cells periodically exposed to air to 3D Alvetex-grown cells exposed to air via their apical surface, the Alvetex-grown cells were three times less sensitive to benzene after 24h exposure, as assessed by MTS viability assay. They were also less sensitive to low doses of benzene (0.25mL/mL) when compared to 3D hanging drop cultures. The authors speculated that this apparent greater resistance to benzene might in part be due to the robust cell growth in Alvetex Scaffold.This report introduces a novel application for Alvetex Scaffold by taking advantage of the capillary action exerted by its porous structure to maintain cell viability at the air-liquid interface.
- Small molecule phosphorescent probes for O2imaging in 3D tissue models
 Ruslan I. Dmitriev, Alina V. Kondrashina, Klaus Koren, Ingo Klimant, Alexander V. Zhdanov, Janelle M. P. Pakan, Kieran W. McDermott and Dmitri B. PapkovskyBiomaterials Science(28 Jan 2014) doi: 10.1039/c3bm60272a
- The effects of microRNAs on human neural stem cell differentiation in two- and three-dimensional cultures
 Lara Stevanato and John D SindenStem Cell Research & Therapy2014,5:49 doi:10.1186/scrt437 Published: 11 April 2014
- The role of high cell density in the promotion of neuroendocrine transdifferentiation of prostate cancer cells
 Zuzana Pernicov, Eva Slabkov, Radek Fedr, rka imekov, Josef Jaro, Tereza Suchnkov, Jan Bouchal, Gvantsa Kharaishvili, Milan Krl, Alois Kozubk and Karel SouekMolecular Cancer2014,13:113 doi:10.1186/1476-4598-13-113 Published: 20 May 2014
- Morphology and functions of astrocytes cultured on water-repellent fractal tripalmitin surfaces
 Wei-wei Hu, Zhe Wang, Shan-shan Zhang, Lei Jiang, Jing Zhang, Xiangnan Zhang, Qun-fang Lei, Hyun-Joo Park, Wen-jun Fang, Zhong ChenBiomaterials2014 doi: 10.1016/j.biomaterials.2014.05.026 Published 2 June 2014Note:Hu and colleagues present work that describes the development and application of water-repellent fractal tripalmitin surfaces upon which they cultured primary rat astrocytes. Cells grown on these substrates form a more three dimensionalin vivo-like phenotype. Such cell architecture was confirmed in comparison to the cells growing on AlvetexScaffold. In this case, Alvetex Scaffold was used as a form of positive control to create a three dimensional micro-environment in which the astrocytes could formin vivo-like morphologies. When cultured on Alvetex Scaffold, the astrocytes developed a more sophisticated structure: they formed more numerous and longer processes, they developed numerous filopodia extensions, and they increased cell-to-cell interactions. The paper also demonstrates the use of confocal microscopy to image the GFAP-immunostained astrocytes growing in Alvetex Scaffold.
- Chondrogenic potential of human articular chondrocytes and skeletal stem cells: A comparative study
 Siwei Li, Bram G Sengers, Richard OC Oreffo and Rahul S TareJournal of Biomaterials ApplicationsAugust 20, 2014 DOI: 10.1177/0885328214548604This study investigates the chondrogenic expression profiles of human articular chondrocytes (HACs) and differentiated human bone-marrow-derived mesenchymal stem cells (MSCs) in a bid to assess their utility as cell-based therapy for cartilage repair following injury or degeneration. Both HACs and MSCs were cultured in Alvetex scaffold presented as 12-well inserts in 12-well plates, and compared with more conventional scaffold-free pellet cultures. Although both Alvetex-grown and pellet-grown MSCs cultures exhibited a high level of Col10a1 expression, a marker of hypertrophic differentiation which is only present at low level in HACs, Alvetex-grown cultures also showed expression of the chondrogenic markers Sox9, Aggrecan and Col2a1 at levels similar to that seen in HACS. Pellet-grown cultures, by comparison, failed to express such high levels of the same chondrogenic markers. The authors speculated that the stiffness and the high porosity of Alvetex might have aided the improved MSCs chondrogenic differentiation by giving physical cues and allowing improved solutes transport.
- Pan-Bcl-2 Inhibitor Obatoclax Delays Cell Cycle Progression and Blocks Migration of Colorectal Cancer Cells
 Bruno Christian Koehler, Anna-Lena Scherr, Stephan Lorenz, Christin Elssner, Nicole Kautz, Stefan Welte, Dirk Jaeger, Toni Urbanik, Henning Schulze-BergkamenPLoS ONE9(9): e106571. doi: 10.1371/journal.pone.0106571 Published September 05, 2014
- Topographical cues regulate the crosstalk between MSCs and macrophages
 Gema Valls, Ftima Bensiamar, Lara Crespo, Manuel Arruebo, Nuria Vilaboa, Laura Saldaadoi: 10.1016/j.biomaterials.2014.10.028 Published online October 28, 2014Valles and colleagues report on the role of the physical microenvironment in the modulation of signalling between mesenchymal stem cells and macrophages. Three dimensional culture of mesenchymal stem cells in Alvetex Scaffold stimulates the secretion of anti-inflammatory molecules that have a differential effect on co-cultured macrophages compared to cells grown in conventional cell culture on flat two dimensional substrates. The role of specific factors involved in this signalling process, namely IL-6 and MCP-1, was identified using immunological inhibition. In effect, the local inflammatory environment provided in 3D co-cultures induces a decrease in monocyte migration compared conventional monolayer cultures. These data highlight the importance of the three dimensional topography of the microenvironment in the regulation of paracrine factors and soluble-factor guided communication between two different cell populations.
- Development of positive control tissue forin situhybridisation using Alvetex scaffolds
 Christa MacDonald, David Benjamin Finlay, Anower Jabed, Michelle Glass, E. Scott Graham Journal of Neuroscience Methods doi:10.1016/j.jneumeth.2014.09.006 Published 30 December 2014In this study, the authors present a new method to generate biological samples that can be used as controls forin situhybridisation (ISH) studies. Currently, ISH is limited due to inefficient probe penetration and loss of sample during preparation. In this paper researchers describe a novel approach using Alvetex Scaffold to create 3D tissue-like structures suitable for sectioning on a cryostat. These samples can subsequently be used as material for positive controls to verify gene expression by ISH. Cells are first transfected with the gene of interest, then cultured in 3D on Alvetex Scaffold, samples are then fixed, embedded and sectioned, and subsequently prepared for ISH using the riboprobe of interest. Sectioning increases probe penetration and further enhances the opportunity for good hybridisation. The authors demonstrated this technique using HEK cells transfected with CB1 and NeuN to optimise hybridisation stringency conditions. These conditions were then applied to samples of brain tissue analysed by ISH. This method can be adapted to generate positive controls for ISH for any gene of interest and it is especially useful where access to precious tissue is limited. In relation to Alvetex, this method further demonstrates the versatility of the material and its broad range of applications.
- Imaging oxygen in neural cell and tissue models by means of anionic cell-permeable phosphorescent nanoparticles
 Ruslan I. Dmitriev, Sergey M. Borisov, Alina V. Kondrashina, Janelle M. P. Pakan, Ujval Anilkumar, Jochen H. M. Prehn, Alexander V. Zhdanov, Kieran W. McDermott, Ingo Klimant, Dmitri B. PapkovskyCellular and Molecular Life Sciences(2015) 72:367381 doi:10.1007/s00018-014-1673-5 Published January 2015Cell-permeable phosphorescent probes enable the study of cell and tissue oxygenation, bioenergetics, metabolism, and pathological states such as stroke and hypoxia. A number of such probes have been described in recent years, the majority consisting of cationic small molecule and nanoparticle structures. While these probes continue to advance, adequate staining for the study of certain cell types using live imaging techniques remains elusive; this is particularly true for neural cells. Here we introduce the novel anionic probe PA2 for the analysis of neural cells and neural tissues. PA2 efficiently stains rat brain slices and permits detailed O2imaging experiments. In this study, brain slices were prepared and maintained as viable preparations on alvetex scaffolds. Analysis revealed age-dependent staining patterns for PA2 and a highly heterogeneous distribution of O2in tissues, which we relate to the localisation of specific progenitor cell populations. Overall, these anionic probes are useful for sensing oxygen levels in various cells and tissues, particularly in neural cells, and facilitate high-resolution imaging of O2in 3D tissue models supported on Alvetex membranes.
- Assessing Na+/H+exchange and cell effector functionality in metastatic breast cancer
 Schammim Ray Amith, Jodi Marie Wilkinson, Larry Fliegel27 January 2016J Biochimie Open2 (2016) 16-23 doi: 10.1016/j.biopen.2016.01.001 This paper describes methods allowing the investigation of Na+/H+ exchanger isoform 1(NHE 1) function, which is of particular relevance to drug resistance in triple-negative breast cancers. By promoting the general acidification of the extracellular environment, NHE1 activity results in increased degradation of extracellular matrix and facilitates cancer cell invasion. The authors used matrigel-coated Alvetex Scaffold in a 6-well insert format to assess whether the disruption of NHE1 expression in MDA-MB-231 cells would affect their invasive behaviour. After 7 days of Alvetex Scaffold 3D culture, MDA-MD-231 cells expressing wild-type NHE1 were present throughout the scaffold, as detected by histological staining of paraffin-embedded sections . NHE1-knock-out MDA-MB-23 cells, however, were predominantly present at the surface of the Alvetex Scaffold, with only occasional cells present within the depth of the substrate. By taking advantage of the thickness of Alvetex Scaffold, this report presents a straightforward assay which enables scientists to study cell invasion through a substantial depth of 3D substrate.
- Human neural stem cell-derived cultures in three-dimensional substrates form spontaneously functional neuronal networks
 Imogen Smith, Vasco Silveirinha, Jason L. Stein, Luis de la Torre-Ubieta, Jonathan A. Farrimond, Elizabeth M. Williamson and Benjamin J. WhalleyJOURNAL OF TISSUE ENGINEERING AND REGENERATIVE MEDICINEPublished online: 25 Feb 2015 doi: 10.1002/term.2001This paper demonstrates the use of the Alvetex platform to culture 3D differentiated human neural stem cells. The cells formed spontaneously active, functional neuronal networks which were not seen in an otherwise comparable 2D culture system. The 3D neural networks responded reproducibly to pharmacological treatments revealing functional glutamatergic synapses. Further imaging analysis revealed a neuronal and glial population, where markers of maturity were apparent in the former. Microrarray analysis of the cultures of the 3D and 2D neuronal cultures showed substantial differences in the gene expression profile of genes coding for neuronal function, extracellular matrix and cytoskeleton. The authors conclude that culturing differentiated neural stem cells in Alvetex offer significant advantages over conventional 2D culture including cost savings and enhanced physiological relevance for pharmacological and toxicological assay used by neuroscientists.
- Targeting ADAM-17 with an inhibitory monoclonal antibody has antitumour effects in triple negative breast cancer cells
 F Caiazza, P M McGowan, M Mullooly, A Murray, N Synnott, N ODonovan, L Flanagan, C J Tape, G Murphy, J Crown and M J DuffyBritish Journal of Cancer, 8 April 2015 doi:10.1038This paper describes an investigation into the action of an inhibitory cross-domain humanized monoclonal antibody known as D1(A12) targeting the matrix metalloproteinase, ADAM-17, in cultured human triple negative breast cancer cells. To create a more biologically relevantin vitromodel, the authors have used Alvetex Scaffold to support three dimensional (3D) of the cancer cells. A selection of triple negative breast cancer cell lines were grown on Alvetex for up to 7 days. Data for the cell lines HCC1143 and HCC1937 are shown in the main paper. The investigators visualized the gross distribution and density of cells on Alvetex using Neutral Red staining. Treatment by the inhibitory antibody resulted in a noticeable reduction in Neutral Red staining that was quantified using ImageJ software. Discs of Alvetex stained by Neutral Red were subsequently fixed and processed for histological analysis. The structure of individual 3D cultured cancer cells was visualized by conventional haematoxylin and eosin (H&E) staining. This paper provides a good demonstration of how Alvetex technology can be used to support 3D growth of tumour cells during treatment with anti-cancer agents. It also uses alternative methods to visualize the 3D cultures.
- Increased survival and exocytosis of toxic primary granules by neutrophils in an in vitro model of Cystic Fibrosis airway disease (INC6P.310)
 Osric Forrest, Sarah Ingersoll, Marcela Preininger, Julie Laval, Milton Brown and Rabindra TirouvanziamJournal of immunologyvol.194 (1 Supplement) 192.12. Published on May 1, 2015
- The Wnt-inhibitor Sclerostin is Up-regulated by Mechanical Unloading in Osteocytesinvitro
 Jordan M. Spatz, Marc N. Wein, Jonathan H. Gooi, Yili Qu, Jenna L. Garr, Shawn Liu, Kevin J. Barry, Yuhei Uda, Forest Lai, Christopher Dedic, Mercedes Balcells-Camps, Henry M. Kronenberg, Philip Babij, Paola Divieti PajevicJOURNAL OF BIOLOGICAL CHEMISTRYJBC Papers in Press. Published on May 7, 2015 Manuscript M114.628313
- Two and three dimensional graphene substrates to magnify osteogenic differentiation of periodontal ligament stem cells
 Han Xie, Tong Cao, Jos Viana Gomes, Antnio Hlio Castro Neto, Vinicius RosaCarbon93, 2015 doi:10.1016/j.carbon.2015.05.071In this report the authors investigate the differentiation of periodontal ligament stem cells (PDLSCs) on graphene substrates. They test the growth of cells on two- and three-dimensional (3D) graphene supports and use Alvetex polystyrene scaffolds as an established control for 3D cell culture. With specific reference to the use of Alvetex, the investigators successfully demonstrate the 3D culture of PDLSCs and the application of a range of analytic methods to monitor cell behavior including: 1) using scanning electron microscopy they visualized cells growing on Alvetex Scaffold; 2) cell viability and proliferation were assessed using a conventional MTS assay; 3) induction of osteogenic differentiation was monitored by staining for alizarin red; 4) gene expression was measured by quantitative real time PCR. The paper provides a good illustration of the versatility of Alvetex technology and its compatibility with a range of conventional analytical methods.
- A method for the evaluation of thousands of automated 3D stem cell segmentations.
 Bajcsy P, Simon M, Florczyk SJ, Simon CG Jr, Juba D, Brady MC.J Microsc. 2015 Dec; 260(3):363-76. doi: 10.1111/jmi.12303.In this study from the US National Institute of Standards and Technology, the authors tackle the issue of how to validate segmentation algorithms for large confocal Z-stack data sets, to specifically evaluate their accuracy, precision and efficiency in assessing the effect of 3Din vitroculture on the shape of stem cells. After culturing primary human bone marrow stem cells in ten types of 3D scaffolds, including Alvetex as representative of porous substrates, and staining the cells for actin by immunofluorescence, the authors applied six candidate segmentation algorithmic sequences and compared them for accuracy against manually-contoured cells, for precision against manually-segmented projections, and for efficiency as measured by execution time. This process also identified rejected, missed or inaccurately-segmented cells for each test substrate. The two best performing candidate algorithms incorporated both imaging and geometric criteria, as well as either minimum error thresholding or topological stable state thresholding, and a morphological step that ensured removal of voxels of low intensity.This study demonstrate that Alvetex is being recognised as a benchmark material for the evaluation of porous 3D cell culture substrates.
- Dexamethasone-Mediated Activation of Fibronectin Matrix Assembly Reduces Dispersal of Primary Human Glioblastoma Cells
 S Shannon, C Vaca, D Jia, I Entersz,et al.PloS One, 2015 doi: 10.1371/journal.pone.0135951In this study, Shannon and colleagues report the effect of dexamethasone on the dispersal of primary human glioblastoma cells. They use a variety of modern molecular and cellular techniques to investigate this process, including the use of Alvetex Scaffold to assess theex vivodispersal of tumour cells. They provide a detailed method describing the seeding of the GFP-labelled tumour cells onto the scaffold and their subsequent culture for 48 hours to allow the cells to infiltrate the 3D structure of Alvetex and disperse. After two days, the scaffolds were mounted onto microscope slides and cover-slipped. Confocal microscopy was used to capture images at successive focal planes at 1 micron intervals to generate a z stack. Differential interference contrast (DIC) microscopy was used to analyse each z stack and measure the z-axis position of cells within the tissue scaffold. The results of the Alvetex Scaffold study are shown in Figure 6 and demonstrate that dexamethasone decreased the dispersal of tumour cells in anex vivo3D model. In summary, this paper provides a good example of where Alvetex technology has been applied to assess the action of a drug on tumour cell motility. This technique could be developed further to form a general assay to study tumour cell dispersal and be used to assess the action of drugs on specific tumour tissuesex vivoas part of an applications to personal medicine.
- A Novel Fully Humanized 3D Skin Equivalent to Model Early Melanoma Invasion
 Hill DS, Robinson ND, Caley MP, Chen M, OToole EA, Armstrong JL, Przyborski S, Lovat PE.2015 Nov; 14(11):2665-73. 2015 doi: 10.1158/1535-7163 MCT-15-0394Molecular Cancer TherapeuticsAlthough cutaneous melanoma can be succesfully treated by surgery in the early stages of the disease, the later metastatic stages have a much poorer prognosis. To avoid any species-specific responses likely to occur in animal models and in animal-ECM basedin vitromodels, the development of all-humanin vitroskin models that specifically enable the study of cancer cell invasion and metastasis is essential to further the understanding and treatment of late-stage melanoma in human patients. In this study, primary human foreskin fibroblasts were cultured in Alvetex Scaffold 12-well inserts for 18 days to allow for a robust endogenous ECM deposition, after which melanoma cell lines (SK-mel-28 and WM35) and primary human keratinocytes isolated from patients were seeded on top of the Alvetex dermal equivalent and cultured for a further 17 days, including 14 days at the air-liquid interface in an Alvetex well insert holder in a deep petri dish. The resulting full-thickness skin equivalent exhibited a morphology and protein expression comparable to human skin, as determined by histology, dermal and basement membrane ECM (collagen types I, III, IV and VII) and epidermal layers markers (cytokeratin 1 and 14, involucrin). Melanocytes grown for either 2-weeks or 4-weeks as part of this model replicated the behaviour of melanomain situand invasive melanoma, respectively, as assessed by their localisation relative to the basement membrane. These results clearly demonstrate the feasibility and relevance of human-onlyin vitromodels which incorporate multiple cell types to faithfully replicatein vivotissue architecture, protein expression and cell behaviour.
- Neuronal-glial populations form functional networks in a biocompatible 3D scaffold
 Imogen Smith, Marcus Haag, Christopher Ugbode, Daniel Tams, Marcus Rattray, Stefan Przyborski, Angela Bithell, Benjamin J. Whalley19 October 2015J Neuroscience Lettersdoi:10.1016/j.neulet.2015.10.044In this study, the authors characterise the morphological and electrophysiological features of embryonic mouse cortical neuroglial cells grown on 2D and in 3D Alvetex Scaffold. Embryonic day 14 mouse cortical cells grown on punch-holed 6mm diameter Alvetex Scaffold discs for 14-21 days expressed GFAP and betaIII-tubulin, indicating the presence of both glial and neuronal cells. Although these markers were also present in 2D cultures, cell morphology was markedly different between 2D and 3D substrates, with more cell processes and less cell flattening being noted in Alvetex. Both 2D and 3D cells also exhibited spontaneous action potential firing, which responded adequately to the GABA and glutamate antagonists BMI and CNQX. A positive correlation was found between burst incidence and signal power in 2D cultures, while this was only true in BMI-treated Alvetex cultures. Although the rate of firing was less in 3D than in 2D, the authors speculated this might be due to the limited range of MEA recording. These results highlight the profound effect of 3D cell culture on the morphology of individual cells, with functional consequences at the level of multicellular networks.
- Heterogeneity between triple negative breast cancer cells due to differential activation of Wnt and PI3K/AKT pathways
 Gabriela Martnez-Revollar, Erika Garay, Dolores Martin-Tapia, Porfirio Nava, Miriam Huerta, Esther Lopez-Bayghen, Noem Meraz-Cruz, Jos Segovia, Lorenza Gonzlez-MariscalExperimental Cell Research, Volume 339, Issue 1, 15 November 2015, Pages 67-80 doi:10.1016/j.yexcr.2015.10.006Triple negative breast cancers (ER-/PR-/HER2-), although representing only 15% of all breast cancers, exhibit resistance to existing hormonal therapy and are subsequently associated with the lowest patient survival rate. This paper used the triple-negative cell line MDA-MB-231 to characterises in details the morphology, protein expression and migratory activity of two cell sub-populations, i.e. fibroblasts-like cells and semi-epithelial cells, with fibroblast-like cells already being known to express cancer stem cell markers and therefore being of greater interest to understanding mechanisms of tumorigenesis. After culturing cells from both sub-types in Alvetex Scaffold 12-well inserts for a period of 10 days, the authors double-stained the cultures as wholemounts with phalloidin-rhodamine and DAPI. Depth colour-coded images taken using confocal microscopy clearly demonstrated the greater migratory activity of fibroblast-like cells compared to semi-epithelial cells in 3D. This difference in cell behaviour in 3D correlated well with decreased levels of cell-cell junction proteins observed in 2D and increased tumorigenicityin vivo. This report demonstrates how Alvetex 3D technology is uniquely well-suited to bridge thein vitro3D model gap between 2D systems andin vivoanimal models.
- Differentiation of a Human Neural Stem Cell Line on Three Dimensional Cultures, Analysis of MicroRNA and Putative Target Genes
 Lara Stevanato, Caroline Hicks, John D. SindenJournal of Visualized Experiments(98), e52410, doi:10.3791/52410 (2015).The human neural stem cell line CTX0E03 is a therapeutically-relevant cell line currently undergoing clinical trials related to Stroke-induced conditions and this paper investigates the effect of 3D culture on the ability of this cell line to differentiatein vitro. The authors describe methods to culture and differentiate CXT0E03 cells on laminin-coated Alvetex scaffolds, as well as how to measure the length of axon processes stained with anti-beta3-tubulin antibodies and to perform RNA extraction followed by cDNA reverse transcription and real-time PCR of MiRNA targets. Their results demonstrate that significantly longer axon processes are obtained after both one week and three weeks of differentiation in Alvetex scaffolds compared to 2D. MiRNA expression changes indicative of cell differentiation are also detected earlier when the CTX0E03 cells are grown in Alvetex scaffolds compared to 2D. This study demonstrates the feasibility of high-quality imaging and RNA extraction from cultures grown in Alvetex scaffolds, as well as its beneficial effect on stem cell differentiationin vitro.
- Capturing complex tumour biologyin vitro: histological and molecular characterisation of precision cut slices
 Emma J. Davies, Meng Dong, Matthias Gutekunst, Katja Nrhi, Hanneke J. A. A. van Zoggel, Sami Blom, Ashwini Nagaraj, Tauno Metsalu, Eva Oswald, Sigrun Erkens-Schulze, Juan A. Delgado San Martin, Riku Turkki, Stephen R. Wedge, Taija M. af Hllstrm, Julia Schueler, Wytske M. van Weerden, Emmy W. Verschuren, Simon T. Barry, Heiko van der Kuip & John A. HickmanNature-Scientific Reports5, Article number: 17187 (2015) doi:10.1038/srep17187 Published online: 09 December 2015Precision-cut tissue slices are morphologically-correct arrangements of multiple cell types in their original extracellular environment, but are limited in their use by their rapid degradationin vitro. This paper aimed to identify optimalin vitrocultures conditions for precision-cut slices from cell-line derived and patient-derived xenografts, as well as primary patient tumour samples, with specific attention to viability and stress over time.The authors identified that maintaining slices at the air-liquid interface with the help of a filter and under atmospheric oxygen conditions resulted in the best tissue maintenance for up to 96h after cutting, as assessed by H&E staining for morphology, Ki67/cleaved caspase-3 double staining for viability and expression profile of a range of stress markers. Interestingly, a vertical gradient of cell viability was observed within the slices, whereby cells at the filter edge exhibit higher levels of hypoxic stress, as suggested by increased HIF1alpha expression.In order to further characterise the performance of filter supports, the authors compared Millipore filters to Alvetex Strata (void size 5 microns) in slices cut from the breast carcinoma cell-line MCF7-derived xenografts and found that, although HIF1 expression was still present at the filter side in both systems, less stress biomarkers expression was detected in Alvetex Strata at 48h after cutting.This paper demonstrates the suitability of the small-void size Alvetex Strata 3D substrate for the maintenance of precision-cut tissue slices, thus enabling scientists to extend their use of this valuable study model.
- Novel Three Dimensional Human Endocervix Cultures respond to 28-day hormone treatment
 Sevim Yildiz Arslan, Yanni Yu, Joanne E. Burdette, Mary Ellen Pavone, Thomas J. Hope, Teresa K. Woodruff, J. Julie KimEndocrinology156:1602 (2015)The endocervix plays an important role in conception and protection from pathogens. It is sensitive to changing concentrations of the sex hormones and alters the consistency of the mucus it secretes in response to these signals. This article reports on the development of a novel three dimensional (3D) model of human endocervix comprising both epithelial cells and stromal cells. Cells derived from primary sources were first explanted in conventional cultured and then seeded onto Alvetex Scaffold membranes and maintained for up to 28 days. Suspensions of two million cells were seeded into each 12-well insert containing Alvetex Scaffold. The cells remained viable and formed 3D cultures composed of epithelial and stromal cells that were treated with estradiol or progesterone over the growth period. Treatment by the hormones resulted in increased cell growth and proliferation. Cells expressed the expected repertoire of hormone receptors and produced both neutral and acid mucins. The article demonstrates the compatibility of Alvetex technology to support an endocervical 3Din vitromodel that reacts to changing hormonal conditions. Alvetex Scaffold was further shown to be compatible with standard analytical assays such as cell viability, immunocytochemistry and histochemical methods. In summary, the paper describes a robust and novel human 3D culture model of the endocervix which showed physiological responses to menstrual hormones.
- Oxygen-sensing scaffolds for 3-dimensional cell and tissue culture
 James Jenkins, Ruslan I. Dmitriev, Karl Morten, Kieran W. McDermott, Dmitri B. PapkovskyActa Biomaterialia2015 doi:10.1016/j.actbio.2015.01.032 Published 31 January 2015Alvetex porous membrane scaffolds are widely used materials for three-dimensional cell cultures and tissue models. Additional functional modification of such scaffolds can potentially extend their use and operational performance. In this paper Alvetex microporous polystyrene-based scaffolds were impregnated with a phosphorescent O2-sensitive dye PtTFPP, optimized for live cell fluorescence microscopy and characteristics for the stable and robust response to pO2in phosphorescence enabling imaging of O2distribution in 3D cell cultures. The modified scaffolds possessed high brightness, convenient spectral intensity and lifetime imaging modes (>twofold response over 21/0% O2). They are suitable for prolonged use under standard culturing conditions without affecting cell viability, and for multi-parametric imaging analysis of cultured cells and tissue samples. The coated Alvetex membranes were cultured with cancer cells (HCT116), multicellular aggregates (PC12) and rat brain slices and showed that they can inform on tissue oxygenation at different depths and cell densities, changes in respiration activity, viability and responses to drug treatment. Using this method multiplexed with staining of dead cells (CellTox Green) and active mitochondria (TMRM), we demonstrated that decreased O2(2024 M) in scaffold corresponds to highest expression of tyrosine hydroxylase in PC12 cells. Such hypoxia is also beneficial for action of hypoxia-specific anti-cancer drug tirapazamine (TPZ). Thus, oxygen sensitive alvetex scaffolds allow for better control of conditions in 3D tissue cultures, and are useful for a broad range of biomaterials and physiological studies.
- Preclinical evaluation of the AR inhibitor enzalutamide in triple-negative breast cancer cells.
 Caiazza F, Murray A, Madden SF, Synnott NC, Ryan EJ, ODonovan N, Crown J, Duffy MJ.Endocr Relat Cancer. 2016 Apr; 23(4):323-34. doi: 10.1530/ERC-16-0068. Epub 2016 Mar 1.A characteristic of triple-negative breast cancers (TNBC) is their unresponsiveness to oestrogen-based therapies. However, a subset of TNBC express androgen receptor (AR) and high AR expression correlates with a worse prognosis in basal-type TNBC, suggesting that the use of AR inhibitors could bring therapeutic benefits to this specific subset of patients. In this study, the authors investigated the effects of flutamide and enzalutamide in a range of TNBC and non-TNBC cell lines in 2D and found that lines with higher AR expression levels showed a greater decrease in clonogenic potential following drug treatment. These results were replicated when the high AR-expressing HCC1937 and MDA-MB-453, as well as the low AR-expressing Hs578t and MDA-MB-468, were seeded onto Alvetex Scaffold and cultured for 7 days, as assessed by neutral red staining quantification. 2D Expression of Fos and Jun, the two components of AP-1, were also down-regulated in the presence of the AR inhibitors, as were cell migration and invasion, as assessed by a chemotaxis assays using matrigel-coated inserts. These results demonstrate that Alvetex technology can be successfully used to complement 2D and ECM-basedin vitrocell culture methods.
- Comparison of the Osteogenic Potential of Mineral Trioxide Aggregate and Endosequence Root Repair Material in a 3-dimensional Culture System.
 Rifaey HS, Villa M, Zhu Q, Wang YH, Safavi K, Chen IP.J Endod. 2016 May; 42(5):760-5. doi: 10.1016/j.joen.2016.02.001. Epub 2016 Mar 16.
- 3D Reconstruction of the Human Airway MucosaIn Vitroas an Experimental Model to Study NTHi Infections
 Pasquale Marrazzo, Silvia Maccari, Annarita Taddei, Luke Bevan, John Telford, Marco Soriani, Alfredo PezzicoliPLOS ONEPublished: April 21, 2016 http://dx.doi.org/10.1371/journal.pone.0153985The usefulness of animal systems to model human infectious diseases can be greatly limited by host-pathogen species-specificity, while human tissue biopsies are only amenable to short-term experiments due to tissue degradation. In this study, the authors describe a 3Din vitrohuman bronchial equivalent model, consisting of two types of commercially-sourced cells, i.e. normal human lung fibroblasts cultured within the thickness of Alvetex Scaffold and overlaid by a thin collagen I coating as a growth surface for normal human trachea-bronchial cells. After three weeks of air-liquid interface culture, advanced imaging (immunostaining and SEM) was performed. The epithelium was found to exhibit a columnar morphology, nuclear distribution and mucus secretion much closer to thein vivotissue than that obtained in transwell-grown cells. The integrity of the Alvetex-cultured epithelium was demonstrated by the presence of ZO-1, laminin and integrin alpha-6, while markers for basal cells and club cells were also detected. The authors tested the validity of this model for microbial infection by introducing the Non-TypeableHaemophilus influenzastrain Fi176, isolated from a clinical otitis media sample, and recorded infiltration within the mucus, epithelium and stromal layers 40h after infection. Interestingly, bacterial aggregates and vesicles were also observed, which is reminiscent of infection progressionin vivo.These results demonstrate how Alvetex technology can enable the development of complexin vitromodels that incorporate multiple cell types and successfully replicate both the morphology and expression profile ofin vivotissue, which in turn allows for thein vitrostudy of physiological processes traditionally restricted toin vivomodels or tissues biopsies.
- Astrocytes Grown in AlvetexThree Dimensional Scaffolds Retain a Non-reactive Phenotype.
 Ugbode CI, Hirst WD, Rattray M.Neurochem Res. 2016 Aug; 41(8):1857-67. doi: 10.1007/s11064-016-1911-3. Epub 2016 Apr 21.This study investigates the effect ofin vitroculture conditions on the marker expression profile of astrocytes and how well the resulting cells approximate astrocytesin vivo.In vitroastrocytes were obtained from either embryonic or postnatal mouse brain tissue and grown on both 2D glass coverslips and 3D Alvetex inserts coated with poly-L-ornithine. Using western blotting and qPCR to examine the expression levels of markers of astrocytic character (GLAST, GS, SMC3, NG2) and of reactive gliosis associated with CNS injury (GFAP, GLT-1, LCN2, Serpina3n, Cx43), the authors demonstrated that, although postnatal astrocytes only show very few differences between 2D and 3D, embryonic astrocytes grown in 3D exhibit lower levels of GFAP, GLAST, LCN2, serpina3n and Cx43, supporting the conclusion that culture in Alvetex can lead to astrocytes adopting a phenotype more representative of uninjured CNS tissue. These results highlights one of the advantages of using Alvetex 3D cell culture technology over conventional 2D culture to construct physiologically-relevantin vitromodels.
- Structural Analysis of Three-dimensional Human Neural Tissue derived from Induced Pluripotent Stem Cells.
 Patrick Terrence Brooks, Mikkel Aabech Rasmussen and Poul Hyttel.J Stem Cell Res Ther2016, 6:4 http://dx.doi.org/10.4172/2157-7633.1000337In this study, the authors have characterised a 3D in vitro model of neural differentiation utilising human iPSCs grown on Alvetex. After an initial period of differentiation into neuroepithelial sheets on 2D conventional plastic using BMP and TGF inhibitors, the cultures were transferred onto laminin-coated Alvetex Scaffold inserts and maintained in hypoxic conditions (5% O2) for up to one month. The neural tissue equivalent obtained grew several hundred microns thick within and above the scaffold. In-depth morphological characterisation by confocal microscopy revealed neural tube-like structures (NTLS) formation within the tissue mass, with SOX2 and Ki67 positive neural stem cells concentrated at the edge of the NTLS lumen, while neuroprogenitor cells and radiating glial-like cells were found at the NTLS periphery. Other neural markers, such as III-tubulin and Tau, were more widely expressed throughout the tissue construct, with MAP2 being expressed preferentially in cells growing on the underside of the scaffold. TEM imaging further confirmed the high cohesion and maturity of the cultures, with clear example of tight junctions, basal bodies and primary cilia.This model of extended neural differentiation demonstrate how the Alvetex insert format can enable the long-term differentiation of tissue constructsin vitro. This is of benefit not only in providing the research community with a morein vivo-like model of neural development, but could also be of use as a test of the differentiation capacity of iPSC lines.
- Influence of Matrices on 3D-Cultured Prostate Cancer Cells Drug Response and Expression of Drug-Action Associated Proteins.
 Edmondson R, Adcock AF, Yang L.PLoS One. 2016 Jun 28;11(6):e0158116. doi: 10.1371/journal.pone.0158116.Although 2D cell-based assays have been a very useful and widespread model for drug toxicity testing in the pharmaceutical industry, the growing realisation of their limitations is leading to an increasing interest in 3D assays. However, commercially-available 3Din vitroassays vary greatly in their chemical and physical characteristics, potentially leading to model-specific changes in cell behaviour and drug response. In this report, the authors investigated the effects of three such 3D models, i.e. two basement-membrane gelling agents and Alvetex Scaffold 96-well plate format, on the morphology, proliferation and drug sensitivity of the LNCaP and DU145 prostate cancer cell lines. The results highlighted several model-specific, cell-specific and drug-specific differences between 2D and 3D models. While both gelling agents gave mostly similar results throughout, cells grown in Alvetex Scaffold exhibited cell-specific morphology, as well as drug sensitivity and protein expression profiles that could not consistently be matched to either the gelling agents or the 2D set-up. This report exemplifies the uniqueness of Alvetex Scaffold, which provides three-dimensionality of culture without the diffusional encumbrance or chemical signalling of a gelling system.
- TDP-43 regulates endogenous retrovirus-K viral protein accumulation.
 Manghera M, Ferguson-Parry J, Douville RNNeurobiol Dis. 2016 Oct;94:226-36. doi: 10.1016/j.nbd.2016.06.017.This study investigates the interplay of human endogenous retrovirus-K (ERVK) and TAR DNA binding protein 43 (TDP-43), a regulator of RNA processing and protein homeostasis, in amyotrophic lateral sclerosis (ALS). The authors specifically compared astrocytes to neuronsin vitroand detected differences in aggregation and clearance of ERVK/TDP-43 granules between both cell types. RenCell CX cells, grown and differentiated into neurons using the Alvetex Scaffold 12-well plate format, consistently expressed ERVK-reverse transcriptase, regardless of treatment with TNF-a and/or MG132 proteasome inhibitor, as shown by confocal microscopy. These results highlight differences in the robustness of protein degradation pathways in different CNS cell types and their potential sensitivity to protein-aggregation diseases.
- The dual role of asporin in breast cancer progression
 Simkova D, Kharaishvili G, Korinkova G, Ozdian T, Suchnkov-Kleplov T, Soukup T, Krupka M, Galandakova A, Dzubak P, Janikova M, Navratil J, Kahounova Z, Soucek K, Bouchal J.Oncotarget. 2016 Jul 7. doi: 10.18632/oncotarget.10471.Asporin, an aspartic acid-rich protein belonging to the small leucine-rich proteoglycan family, is involved in the development and pathogenesis of cartilage and bone tissues, thanks to its ability to bind both calcium and collagen types I and II, leading to ECM mineralisation. Although high expression of asporin is also detected in a number of cancers (eg. breast, lung, ovary, GI) and correlates with increased invasivenessin vitro, its relation to prognosis seems largely dependent on stage and subtype. In this report, the authors investigated the role of asporin on breast cancer cell invasion in a number of 3D matrices, including Alvetex Scaffold. Both human breast carcinoma Hs578T cells and human primary cancer-associated fibroblasts exhibited up-regulated asporin protein expression when grown in Alvetex Scaffold compared to 2D. Neither was asporin up-regulated in Hs578T cells grown in collagen gels, leading the authors to speculate that the stiffness of Alvetex Scaffold better mimics the physical environment of solid tumours.
- Bcl-xL is an oncogenic driver in colorectal cancer.
 Scherr AL, Gdynia G, Salou M, Radhakrishnan P, Duglova K, Heller A, Keim S, Kautz N, Jassowicz A, Elssner C, He YW, Jaeger D, Heikenwalder M, Schneider M, Weber A, Roth W, Schulze-Bergkamen H, Koehler BC.Cell Death Dis. 2016 Aug 18; 7(8):e2342. doi: 10.1038/cddis.2016.233.This study highlights the role of the anti-apoptotic protein Bcl-xL in the incidence and treatment of colorectal cancer (CRC). After demonstrating using human CRC tissue and mouse knock-out mutants that Bcl-xL is upregulated in CRC and that its absence results in fewer tumor lesions, the authors cultured HT29 cells in Alvetex Scaffold and exposed them to ABT-737, a BH3 mimetic which competitively binds both Bcl-xL and Bcl-2. IHC-stained sections of the Alvetex-grown cultures revealed a greater amount of PARP cleavage and LDH medium activity in ABT-373-treated cells compared to untreated controls, although numbers of Ki67-expressing cells were unchanged. Crucially, when the authors repeated this ABT-737 treatment in humanex vivoCRC lesions slices, similar results were observed. This study demonstrates that data obtained using Alvetex can be replicated in human samples and that Alvetex 3D cell culture technology is therefore a physiologically-relevant model to study human diseasein vitro.
- A novel 3D human glioblastoma cell culture system for modeling drug and radiation responses
 Natividad Gomez-Roman, Katrina Stevenson, Lesley Gilmour, Graham Hamilton and Anthony J ChalmersNeuro Oncology (2016)First published online: August 30, 2016. doi: 10.1093/neuonc/now164In this study, the authors utilised Alvetex 3D cell culture technology to develop models of glioblastoma that would better recapitulate thein vivobehaviour of this common type of brain tumor. Although 2D models of glioblastoma already exist, they are unable to accurately predict drug sensitivityin vivo, which greatly impairs efforts to bring about new therapeutic agents. Cell lines derived from patient resections were grown in stem-cell promoting medium on either ECM-coated 2D plates or in ECM-coated Alvetex. Alvetex-grown cells exhibited a differential gene expression profile, notably in members of the EGFR and VEGF pathways and stem cell markers. They responded to presence of VEGF by an increase in proliferation and to withdrawal of VEGF by increased differentiation, which is consistent with the hypothesised role of VEGF in maintaining a stem cell characterin vivoand is relevant to cancer treatment as drug resistance is thought to be associated with cancer stem-like cells. Also in accordance within vivodata and in opposition to results from 2D cultures, cells grown in 3D in Alvetex were not radiosensitised by erlotinib treatment but were radiosensitised by either bevacizumab or temozolomide. Finally, upon injection into mice to assess tumorigenicity, cells from 3D cultures resulted in a greater number of symptomatic mice. Taken together, these results give strong evidence that Alvetex 3D culture models are better able to predict cell responses to therapeutic candidates before pre-clinical and clinicalin vivotesting than current 2D models, with great potential benefit to cancer research and ultimately human health.
- Synthesis of Near-Infrared Fluorescent Two-Photon-Absorbing Fluorenyl Benzothiadiazole and Benzoselenadiazole Derivatives.
 Sheng Yao, Bosung Kim, Xiling Yue, Maria Y. Colon Gomez, Mykhailo V. Bondar, and Kevin D. Belfield.ACS Omega, 2016, 1 (6), pp 11491156. DOI: 10.1021/acsomega.6b00289Although two-photon fluorescence microscopy (2PFM) is already widely used to imageex-vivotissue up to several millimetres depths, its potential use for microscopy-aided clinical surgery is currently untapped.In this study, the authors synthesised four bis-thienylbenzothiadiazole chromophores and assessed their performance as candidate near-infrared (NIR) dyes for 2PFM. Their absorption/fluorescence spectra and quantum yields were found to be roughly constant in toluene, tetrahydrofuran and methylene chloride, suggesting that the dyes might also maintain their properties in aqueous solvents, i.e. in a biologically-relevant environment. Out of the four candidates, the one exhibiting the highest figure of merit was encapsulated in Pluronic micelles and added to 3T3 fibroblast grown in both 2D and Alvetex 3D substrate, whereby fluorescence was maintained and could be imaged up to a depth of 100 microns in Alvetex using confocal microscopy.This study demonstrate the utility of Alvetex substrate for early studies destined to be applied in living tissues.
- A robust and reproducible human pluripotent stem cell derived model of neurite outgrowth in a three-dimensional culture system and its application to study neurite inhibition.
 Clarke KE, Tams DM, Henderson AP, Roger MF, Whiting A, Przyborski SA.Neurochem Int. 2016 Dec 20. pii: S0197-0186(16)30507-1. doi: 10.1016/j.neuint.2016.12.009.In this study, the authors present a novel 3D model which enables the investigation of neurite outgrowthin vitro, by culturing neurospheres derived from pluripotent stem cells onto Alvetex Scaffold inserts. Stem cells were differentiated with the synthetic retinoid EC23 in 2D, as evidenced by decreased expression of the pluripotency markers SSEA3, Nanog and Oct-4, as well as increased expression of the neuronal differentiation markers A2B5 and Pax6 and of the mature neuronal protein NF-H. Differentiated neurospheres were also transferred onto the top surface of Alvetex scaffold inserts. Only a small minority of individual cells within the neurospheres migrated into the scaffold while neurites extended throughout the material. Neurites could be tracked using various techniques and their length and number extending through the 3D material could be quantified from imaging beneath the scaffold membrane. In experiments where U-118 MG glioma cells were co-cultured in the scaffold prior to neurosphere transfer, 3D neurite extension into the scaffold was drastically halted. Such suppression of neurite outgrowth was consistent with the detectable expression of inhibitory CSPGs expressed by U-118 MG cells grown in Alvetex Scaffold. This inhibitory effect could be rescued by addition of the ROCK inhibitor Y-27632.These results demonstrate that Alvetex 3D Cell Culture technology can further the use and complexity of established differentiationin vitromodels. The technology can be developed to replicate aspects of certain neuropathological disorders, allowing the more convenient acquisition of functional endpoints for testing drug candidates.
- Inhibition of glioblastoma dispersal by the MEK inhibitor PD0325901.
 Shannon S, Jia D, Entersz I, Beelen P, Yu M, Carcione C, Carcione J, Mahtabfar A, Vaca C, Weaver M, Shreiber D, Zahn JD, Liu L, Lin H, Foty RA. BMC Cancer. 2017 Feb 10; 17(1):121. doi: 10.1186/s12885-017-3107-x.Continuous dispersal of individual glioblastoma cells away from the main tumour mass is a challenge to the long-term efficacy of resection surgery.In this study, the authors investigated the activity of the MEK inhibitor PD032901 on the growth and mechanical properties of hanging-drop aggregates generated from human primary glioblastoma cells, as well as on the actin organisation, detachment under shear stress and dispersal of individual cells. Of particular note, some of these aggregates were transferred on top of Alvetex scaffold that had been previously seeded with normal human astrocytes, and the ability of the aggregated glioblastoma cells to detach and disperse through the astrocyte culture was quantified by spinning disk confocal microscopy. In the absence of PD0325901, glioblastoma cells penetrated into the astrocyte-seeded scaffold for up to 30 microns deep in the space of 48h, and this was significantly reduced in the presence of the MEK inhibitor.This study demonstrates how Alvetex 3D co-culture capabilities can further the applications of other 3D culture methods and enable the use of more complexin vitromodels of cancer cell invasion through neighbouring tissue.
- Osteocyte secreted factors inhibit skeletal muscle differentiation
 Wood C.L., Divieti Pajevic P., Gooi J.H. Bone Reports. 2017 Jun 6:74-80. doi:10.1016/j.bonr.2017.02.007In this study, the authors investigated the cross-talk between bone and muscle, and more specifically the effect of osteocyte-conditioned medium on myogenic differentiation. MLO-Y4 osteocytes were cultured in Alvetex scaffold in either static or perfused conditions, using the Alvetex perfusion plate, and the resulting conditioned medium was added to C2C12 myoblasts. A significant decrease in the number and length of myofibers was observed after 6 days of treatment with medium from either static or perfused cultures and the expression of several myogenic regulatory factors (eg.Myf5,Myogenin,Myh1) was also decreased. Several cytokines relevant to muscle formation were detected in the conditioned medium, with differential amounts of individual cytokines between static and perfused medium generally supporting a greater inhibitory activity of perfused conditioned medium, as exemplified by a decrease in IL-1, IL-3, IL-4, IL-10, MIG and MIP-1a in perfused culture conditioned medium compared to its static culture equivalent.These results demonstrate how Alvetex technologies can be successfully combined to provide several physiological cuesin vitro, i.e. both three dimensionality and mechanical stimulation, with benefits to protein expression and the understanding of cell-cell interaction mechanisms.
- Dedifferentiation into blastomere-like cancer stem cells via formation of polyploid giant cancer cells.
 Niu N, Mercado-Uribe I, Liu J.Oncogene. 2017 Apr 24. doi: 10.1038/onc.2017.72.In this study, the authors characterised polyploid giant cancer cells (PGCC) derived from mitosis-arrested ovarian cancer cell lines. When grown in 2D, PGCCs were capable of exhibiting stem cell characteristics, as evidenced by the expression of OCT4, SOX2 and NANOG and the loss of Xist expression. YAP, a critical factor in regulating the tumour-suppressor pathway, had a distinct nuclear localisation in PGCCs, which, when disrupted by the addition of dobutamine, prevented the differentiation of PGCCs into either endoderm or neural-like cells. Daughter cells arising from PGCCs by budding exhibited morphologies reminiscent of various cell lineages and differentiated when cultured in either chondrogenic, adipogenic or osteogenic medium, as indicated by positive staining for sulphate chondroitin, oil red O and osteogenin, respectively. In xenografts, tumours obtained from daughter cells where smaller and more heterogenous than those from un-arrested cancer cells, which mimics clinical observations post-chemotherapy in humans. When grown on Alvetex Scaffold, PGCCs remained at the surface of the substrate and exhibited an epithelial-like morphology, rather than invading into the substrate as seen with un-arrested cancer cells. Taken together, this study shows how the use of 2D, 3D and animal models can be combined to assess specific aspects of cell expression and behaviour to gain a more complete understanding of cancer cell regulation under chemotherapy.
- SHH signalling mediates astrocyte crosstalk with neurons to confer neuroprotection.
 Ugbode CI, Smith I, Whalley BJ, Hirst WD, Rattray M.J Neurochem. 2017 May 9. doi: 10.1111/jnc.14064.Sonic HedgeHog (SHH) signalling is already known to reduce astrocyte reactivity after CNS injuryin vivo. In this study, the authors used two SHH pathway agonists, purmorpharmine (Pur) and smoothened agonist (SAG) to characterise the effects of SHH signalling upon astrocytes grownin vitroin both conventional 2D and Alvetex 3D cultures, with a focus on neuroprotection. Following agonist treatment, primary astrocytes isolated from E15 mouse embryo cerebral cortices exhibited cell elongation, increased cell proliferation and decreased expression of the reactivity marker GFAP in 2D. In 2D astrocyte-neuron co-cultures, treatment with SAG resulted in a decrease in neuronal firing frequency, as determined by multi-electrode array (MEA). To better characterise this observation, astrocytes were cultured and pre-treated with SAG as a monoculture in a 3D Alvetex Scaffold insert, after which SAG was washed out and the Alvetex insert was suspended in a culture well already containing neurons grown in 2D. After allowing sufficient time for the astrocytes to condition the medium, the insert was removed and the neurons were treated with kainate to induce injury. Medium conditioning with SAG-treated astrocytes grown in 3D Alvetex inserts conferred cytotoxic protection upon the neurons, as assessed by MAP-2 expression levels. This experimental set-up illustrates the suitability of 3D Alvetex inserts for multi-phasic co-culture and for thein vitrocharacterisation of functionally-significant cell-cell interactions observedin vivo.
- Galectin-1 from conditioned medium of three-dimensional culture of adipose-derived stem cells accelerates migration and proliferation of human keratinocytes and fibroblasts
 M.H. Kim, W.H. Wu, J.H. Choi, J.H. Kim, J.H. Jun, Y. Ko and J.H. Lee, MD.Wound Repair and Regeneration.2017 Aug 30. doi: 10.1111/wrr.12579.Adipose-derived stem cells (ADSCs) are an easier-to-source alternative to bone marrow stem cells and are known to secrete factors that can promote angiogenesis and aid tissue repair. In this study, the authors investigated the effect of 3D culture of ADSCs in Alvetex Scaffold on the ability of ADSC-conditioned medium to promote proliferation and migration of HaCat keratinocytes and primary human dermal fibroblast (HDFs). Compared to ADSCs culture in 2D, the conditioned medium from Alvetex-cultured ADSCs contained greater amounts of ECM proteins that may improve cell-substrate adhesion (collagen I and collagen III), as well as growth factors and cytokines involved in wound healing (bFGF and IL-6). 3D-conditioned medium also contained factors not found in 2D-conditioned medium, notably TIMP-1, CHI3LI and Galectin-1, all of which have previously been shown to promote fibroblast proliferation. Compared to 2D-conditioned medium, 3D-conditioned medium increased the proliferation of HaCat keratinocytess and the migration of both HaCats and HDFs. Antibody-blocking of Galectin-1, but not CHI3LI, activity from the medium abrogated its effect on HaCat migration, supporting the role of Galectin-1 in the wound healing process.These results demonstrate how three-dimensionality can promote the expression of functionally-important proteins and therefore the benefits of 3D culture for the study of paracrine signalling in co-culture models.
- A Bioinformatics 3D Cellular Morphotyping Strategy for Assessing Biomaterial Scaffold Niches.
 S. Florczyk, M. Simon, D. Juba, S. Pine, S. Sarkar, D. Chen, P. Baker, S. Bodhak, A. Cardone, M. Brady, P. Bajcsy, C.G. Simon.ACS Biomater. Sci. Eng.2017 Aug 31. DOI: 10.1021/acsbiomaterials.7b00473.In vivo, stem cells reside within an ECM niche that influences both their morphology and their function.In vitro, 3D biomaterials constitute a synthetic niche which can affect cell shape, and consequently, cell function. In this study, the authors used confocal laser microscopy to determine the 3D morphometrics of individual primary human bone marrow stromal cells cultured on eight different substrates representative of fibrous, porous, gel and planar geometries, with Alvetex Scaffold being selected as the sole example of 3D porous substrate. Both F-actin and nuclear 2D areas and 3D volumes were quantified, which revealed that quantification of 2D area alone tends to underestimate cell size when compared to 3D volume, due to differences in cell height between culture substrates. Actin metrics were more variable than nuclear ones, consistent with the greater dynamics of the actin cytoskeleton, but both showed similar groupings of the substrates, i.e. planar and gelled substrates being associated with flatter cells compared with porous and fibrous substrates, with Matrigel being unique in promoting a spheroid cell morphology.These results clearly demonstrate how 3D culture within Alvetex Scaffold promote quantifiable changes in individual cell shape, most notably reducing the cellular and nuclear flattening characteristic of conventional 2Din vitroculture.
- Autocrine and Paracrine Regulation of the Murine Skeleton by Osteocyte-Derived Parathyroid Hormone-Related Protein.
 Ansari N, Ho PW, Crimeen-Irwin B, Poulton IJ, Brunt AR, Forwood MR, Divieti Pajevic P, Gooi JH, Martin TJ, Sims NA.J Bone Miner Res.2017 Sep 15. doi: 10.1002/jbmr.3291.
- Revisiting the Road Map of Medullary Thymic Epithelial Cell Differentiation.
 Michel C, Miller CN, Kchler R, Brors B, Anderson MS, Kyewski B, Pinto S.J Immunol.2017 Oct 9. pii: ji1700203. doi: 10.4049/jimmunol.1700203.
- Increased sphingosine-1-phosphate production in response to osteocyte mechanotransduction
 Cale Dobrosak, Jonathan H.GooiJ. Bone Reports, 16 October 2017 DOI: 10.1016/j.bonr.2017.10.002
- Effect of_the Scaffold Microenvironment on Cell Polarizability and Capacitance Determined by Probabilistic Computations.
 Pazmino Betancourt B, Florczyk S, Simon M, Juba D, Douglas JF, Keyrouz W, Bajcsy P, Lee C, Simon CG.Biomed Mater.2017 Oct 26. doi: 10.1088/1748-605X/aa9650.
- Paracrine interactions between mesenchymal stem cells and macrophages are regulated by 1,25-dihydroxyvitamin D3
 Laura Saldaa, Gema Valls, Ftima Bensiamar, Francisco Jos Mancebo, Eduardo Garca-Rey & Nuria VilaboaScientific Reports7, Article number: 14618 (2017) doi:10.1038/s41598-017-15217-8
- Substrate Microarchitecture Shapes the Paracrine Crosstalk of Stem Cells with Endothelial Cells and Osteoblasts
 Francisco Martn-Saavedra, Lara Crespo, Clara Escudero-Duch, Laura Saldaa, Enrique Gmez-Barrena & Nuria VilaboaScientific Reports 7Article number: 15182 (2017) doi:10.1038/s41598-017-15036-x
- Development of a microfluidic perfusion 3-dimensional cell culture system
 Dong Hyeok Park, Hyeong Jin Jeon, Moon Jeong Kim, Xuan Don Nguyen, Karl Morten and Jeung Sang GoJournal of Micromechanics and Microengineering(online 17 January 2018) doi: 10.1088/1361-6439/aaa877
- Differentiation Patterns of Immortalized Human Meibomian Gland Epithelial Cells in Three-Dimensional Culture
 Nagayoshi Asano; Ulrike Hampel; Fabian Garreis; Antje Schrder; Martin Schicht; Christian M. Hammer; Friedrich PaulsenInvestigative Ophthalmology & Visual ScienceMarch 2018, Vol.59, 1343-1353. doi:10.1167/iovs.17-23266
- Frontline Science: Pathological conditioning of human neutrophils recruited to the airway milieu in cystic fibrosis
 Osric A. Forrest Sarah A. Ingersoll Marcela K. Preininger Julie Laval Dominique H. Limoli Milton R. Brown Frances E. Lee Brahmchetna Bedi Ruxana T. Sadikot Joanna B. Goldberg Vin Tangpricha Amit Gaggar Rabindra TirouvanziamJournal of Leukocyte Biology09 May 2018 doi:10.1002/JLB.5HI1117-454RR
- Host-pathogen-interaction reconstituted in 3-dimensional cocultures of mucosa andC. albicans
 Mrs. Romina Buchs, Mr. Bruno Lehner, Dr. Phillippe Meuwly, Prof. Bruno SchnyderTissue Engineering Part C: Methods. 14 Jun 2018 https://doi.org/10.1089/ten.TEC.2018.0042
- The tyrosine phosphorylated pro-survival form of Fas intensifies the EGF-induced signal in colorectal cancer cells through the nuclear EGFR/STAT3-mediated pathway
 Ngoc Ly Ta, Krittalak Chakrabandhu, Sbastien Huault & Anne-Odile HueberScientific Reportsvolume 8, Article number: 12424 (2018). 20 August 2018 DOI:10.1038/s41598-018-30804-z
- Osteogenic Differentiation of Bone Marrow-Derived Mesenchymal Stem Cells in Electrospun Silica Nonwoven Fabrics
 Kazutoshi Iijima, Shohei Ishikawa, Kohei Sasaki, Mineo Hashizume, Masaaki Kawabe, and Hidenori OtsukaACS Omega2018, 3 (8), pp 1018010187. 30 Aug 2018 DOI: 10.1021/acsomega.8b01139
- Transcription factor programming of human ES cells generates functional neurons expressing both upper and deep layer cortical markers
 Giedre Miskinyte, Marita Grnning Hansen, Emanuela Monni, Matti Lam, Johan Bengzon, Olle Lindvall, Henrik Ahlenius, Zaal KokaiaACS Omega2018, 3 (8), pp 1018010187. 11 Oct 2018 DOI: 10.1371/journal.pone.0204688
- Regulation of human glioma cell migration, tumor growth, and stemness gene expression using a Lck targeted inhibitor
 J. P. Zepecki, K. M. Snyder, M. M. Moreno, E. Fajardo, A. Fiser, J. Ness, A. Sarkar, S. A. Toms & N. TapinosOncogene23 Oct 2018 https://doi.org/10.1038/s41388-018-0546-z
- Glioblastomas Next Top Model: novel culture systems for brain cancer radiotherapy research
 Seamus P Caragher, Anthony J Chalmers MD/PhD, Natividad Gomez-Roman PhDPreprints2018, 2018100697. 30 Oct 2018 doi: 10.20944/preprints201810.0697.v1
- Preparation of 3D porous hydroxyapatite cell scaffolds using polystyrene templates under biomimetic conditions
 Kazutoshi IIJIMA, Ayako IIZUKA, Ryo SUZUKI, Hitomi UENO-YOKOHATA3, Nobutaka KIYOKAWA, Mineo HASHIZUMEJournal of the Ceramic Society of Japan126 [11] 956-958 2018 https://doi.org/10.2109/jcersj2.18144
- A multifunctional drug nanocarrier for efficient anticancer therapy
 Carmen Teijeiro-Valio, Ramon Novoa-Carballal, Erea Borrajo, Anxo Vidal, Marta Alonso-Nocelo, Marade la Fuente Freire, Pedro P. Lopez-Casas, Manuel Hidalgo, Nomi Csaba, Mara Jos AlonsoJournal of Controlled Release. Available online 8 December 2018. https://doi.org/10.1016/j.jconrel.2018.12.002
Alvetex Brochures
- Alvetex: Intro Flyer
- Alvetex: Genuine 3D Cell Culture, Simply and Routinely
- Alvetex 3D Cell Culture Systems (plasticware)
- Predictive 3D Hepatotoxicity Assay Service using HepG2 Cells in Alvetex 96-well plate format
- Skimune® 3D: Adverse Immune Reaction Model (in collaboration with Alcyomics)



 世翔國際有限公司
 世翔國際有限公司